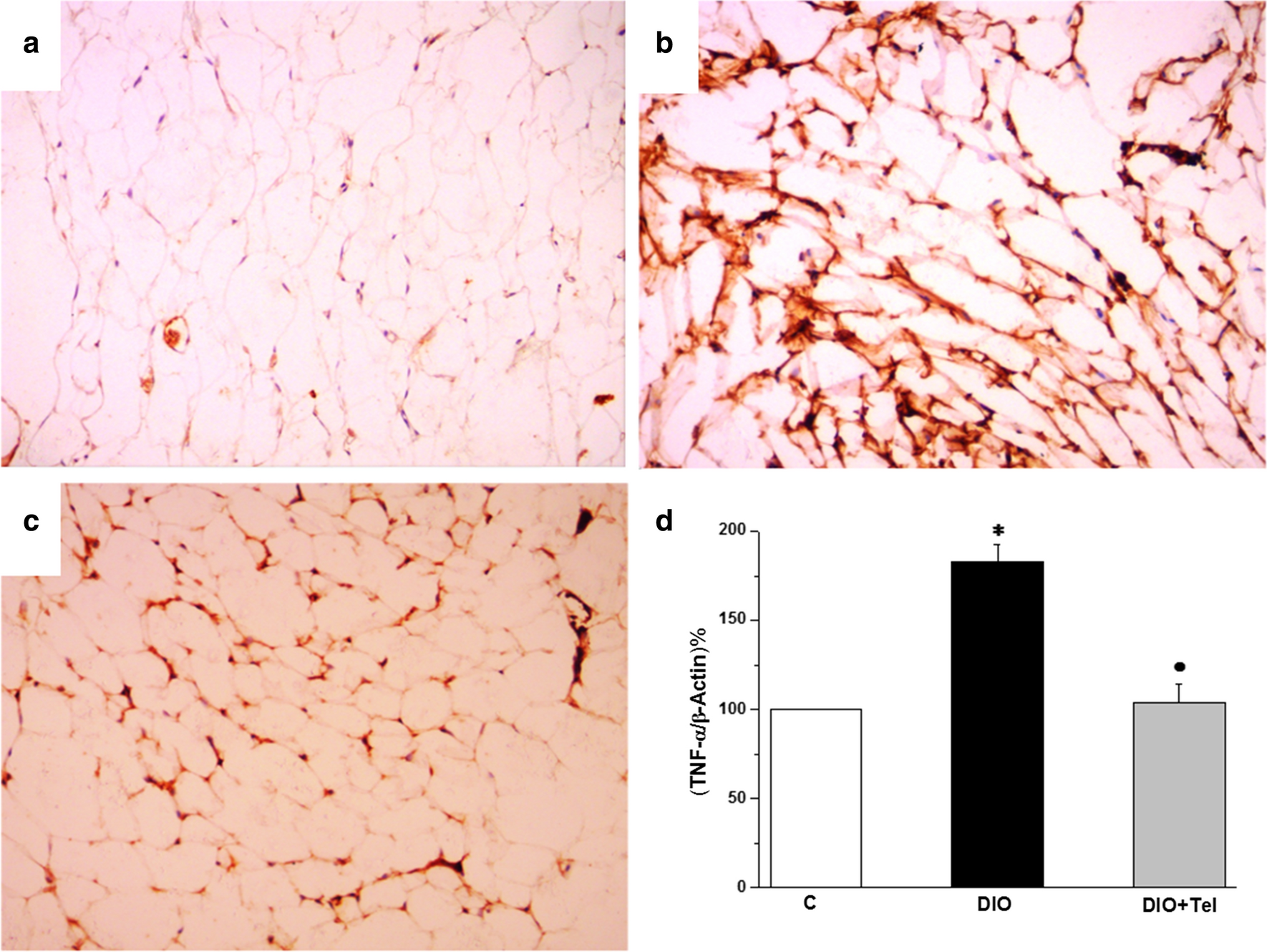
Fig. 10

Effect of telmisartan on visceral adipose tissue TNFα content in diet-induced obesity hypertension. a Section of the visceral adipose tissue in the control group showed mild diffuse cytoplasmic TNFα immunoreactivity. b Section of the visceral adipose tissue in the DIO group showed strong diffuse cytoplasmic TNFα immunoreactivity. c Section of the visceral adipose tissue in the DIO + Tel group showed mild to moderate diffuse cytoplasmic TNFα immunoreactivity (TNFα IHC ×200 for a, b and c). d TNFα mRNA gene expression level in control, DIO and DIO + Tel groups (number of rats = 10/group. P < 0.05 considered significant, * significant when compared to the control group, • significant when compared to the DIO group)